Elastografia e Quantificação
da Gordura hepática
por Ultrassonografia
Multiparamétrica



Avaliação moderna, precisa
e não invasiva do fígado


O que é a tecnologia

Elastografia e Quantificação da Gordura
Hepática por Ultrassonografia Multiparamétrica



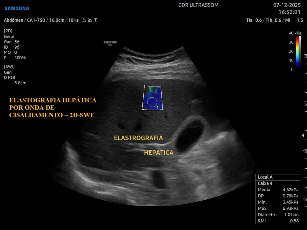
A elastografia e a quantificação da gordura hepática por ultrassonografia multiparamétrica representam uma tecnologia moderna e não invasiva para avaliação da saúde do fígado. Por meio de técnicas avançadas de ultrassom, é possível analisar de forma objetiva tanto a rigidez do tecido hepático, relacionada à fibrose, quanto o teor de gordura presente no órgão, com alta precisão diagnóstica.

Essa tecnologia vai além do ultrassom convencional ao utilizar parâmetros quantitativos validados cientificamente, com excelente correlação com métodos de referência como a ressonância magnética. Dessa forma, permite diagnóstico precoce, estratificação de risco e acompanhamento evolutivo das doenças hepáticas, qualificando a avaliação clínica e auxiliando na tomada de decisões médicas baseadas em evidência.


O diferencial em relação
ao ultrassom comum

Diferente do ultrassom tradicional (modo B),
a ultrassonografia multiparamétrica utiliza
parâmetros quantitativos avançados que aumentam significativamente a precisão na avaliação hepática, com resultados comparáveis à ressonância magnética.

Parâmetros:

- Coeficiente de Atenuação (CA)

- Retroespalhamento (BSC)

- Fração de Gordura por Ultrassom (USFF)

- Velocidade do Som (SoS)

OBJETIVOS

Para que serve esse exame?

Permite detectar e quantificar o acúmulo de gordura hepática de forma precisa, inclusive em fases iniciais da doença.

A elastografia mede a rigidez do tecido hepático, auxiliando na identificação e no estadiamento da fibrose sem necessidade de biópsia.

Contribui para a identificação de pacientes com risco de progressão para cirrose antes do surgimento de sintomas clínicos.

Possibilita intervenções terapêuticas mais precoces, aumentando as chances de reversão da esteatose em fases iniciais.

Permite o acompanhamento contínuo e seguro da progressão ou regressão da fibrose e da esteatose hepática.

É especialmente útil no acompanhamento de programas de emagrecimento, controle metabólico e mudanças no estilo de vida.

Ajuda o médico a classificar o estágio da doença hepática e o risco de complicações, orientando condutas terapêuticas.

Apoia estratégias individualizadas de tratamento, alinhadas ao perfil metabólico e à gravidade da alteração hepática.

O que é
esteatose hepática

(gordura no fígado)


A esteatose hepática, popularmente conhecida como gordura no fígado, é uma condição caracterizada pelo acúmulo excessivo de gordura nas células do fígado.
Ela está frequentemente associada a fatores como sobrepeso, obesidade, resistência à insulina, diabetes, alterações do colesterol e triglicerídeos, além do consumo de álcool.

Na maioria dos casos, a esteatose hepática é
silenciosa e não apresenta sintomas nas fases iniciais.
No entanto, quando não identificada e acompanhada adequadamente, pode evoluir para inflamação
do fígado, fibrose, cirrose e aumentar o risco de complicações hepáticas e cardiovasculares. Por isso,
a detecção precoce e o monitoramento contínuo
são fundamentais para um manejo clínico mais
seguro e eficaz.

BENEFÍCIOS

Benefícios para o paciente.

Diagnóstico mais precoce

Permite identificar alterações no fígado ainda em fases iniciais, como acúmulo de gordura ou sinais de fibrose, favorecendo intervenções
precoces e prevenindo a progressão para estágios mais avançados da doença.

Por ser um método não invasivo e altamente preciso, o exame pode reduzir a necessidade de procedimentos como a biópsia hepática, oferecendo uma avaliação segura e eficaz com menos riscos ao paciente.

Possibilita monitorar a evolução da doença hepática ao longo do tempo, permitindo ao médico avaliar a progressão ou melhora do quadro de forma reprodutível e confiável.

Trata-se de um exame rápido, indolor e realizado em poucos minutos durante o ultrassom abdominal, sem necessidade de preparo complexo, internação ou exposição à radiação.

Oferece uma alternativa moderna e mais acessível para avaliação hepática, com excelente correlação com métodos de referência como a ressonância magnética, tornando o acompanhamento mais viável para o paciente.